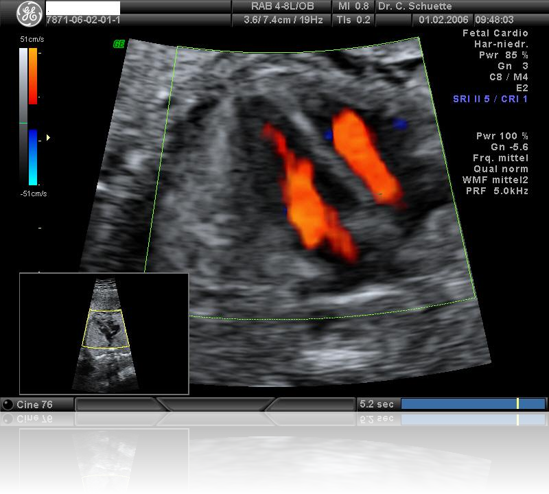
Fetale Echokardiographie
|
Die Untersuchung des kindlichen Herzens mit Ultraschall (fetale Echokardiographie) ist Bestandteil der weiterführenden Organdiagnostik.
Es ist heute bereits möglich, diese Spezial- untersuchung ab der 13. Schwangerschaftswoche durchzuführen und einige schwerwiegende Herzfehler können bereits dann erkannt werden.
Die endgültige Beurteilung des Herzens, seiner Funktion und der Blutflüsse erfolgt jedoch erst ab der 20. SSW und sollte in der Regel mit der 24. Woche abgeschlossen sein.
Zu einem späteren Zeitpunkt in der Schwangerschaft ist die Diagnostik häufig durch die ungünstige Lage des Kindes sowie durch die schlechte Schalldurchlässigkeit der Rippen beeinträchtigt.
Die Untersuchung des kindlichen Herzens ist mehr noch als die Beurteilung eines jeden anderen Organsystems davon abhängig, wie qualifiziert und erfahren der Untersucher ist.
|
Kontrolliert werden:
Häufigkeit von Herzfehlern:
Mit Hilfe der farbkodierten Doppler-Sonographie werden weitere Details des Herzens detailliert dargestellt:
|
